Hôm nay, Chủ nhật 25/01/26 9:29

Thời gian được tính theo giờ UTC + 7 Giờ




Tạo chủ đề mới Gửi bài trả lời  [ 1 bài viết ] 
Người gửi Nội dung
Gửi bàiĐã gửi: Thứ 6 13/01/17 15:32 
Ngoại tuyến

Ngày tham gia: Thứ 6 13/01/17 15:18
Bài viết: 6
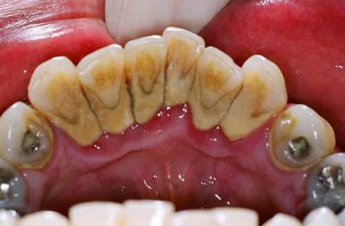
Sâu răng là một bệnh lý nha khoa về răng miệng gây rất nhiều phiền toái mà nhiều người mắc phải. Cùng tìm hiểu [b]nguyên nhân sâu răng, cách điều trị và phòng tránh căn bệnh này như thế nào trong bài viết sau.. [/b]


[b] 1. Nguyên nhân sâu răng mọi người cần biết để tránh. [/b]

Hình ảnh

Sâu răng thực chất chính là sự tổn thương về mặt cấu trúc của răng, khi răng bị tổn thương sẽ gây ra những đau đớn, những tác hại xấu cho sức khỏe và phiền hà cho sinh hoạt hàng ngày. Nguyên nhân khiến răng bị sâu là do:
– Chải răng không đúng cách, không vệ sinh răng sau khi ăn và trước khi đi ngủ làm cho thức ăn còn sót lại trên răng và trong khoang miệng, lên men và phân hủy là môi trường sống rất tốt cho các loại vi khuẩn khác nhau tấn công vào men răng.
– Ăn nhiều chất có đường, đồ ngọt nên sản sinh ra nhiều axit gây xói mòn men răng.
– Cấu trúc răng yếu nên men răng và ngà răng dễ bị ăn mòn. Nguyên nhân sâu răng này thường do bẩm sinh hoặc cơ thể bị thiếu những dưỡng chất cần thiết cho sự hình thành răng và giữ cho răng chắc khỏe như canxi, flour, sắt, kém,…
– Không đánh răng thường xuyên, không lấy cao răng định kì khiến mảng bám trên răng nhiều, vi khuẩn hoạt động mạnh gây nên tổn thương cho răng.
Sâu răng chia làm 3 giai đoạn theo các mức độ tổn thương cho răng mà nó gây ra
– Giai đoạn sâu men răng chưa gây đau đớn: men răng lúc này thường bị tấn công bởi các axit do vi khuẩn streptococcus mutans lên men từ đường và tinh bột trong thức ăn mà chúng ta ăn hàng ngày.
– Giai đoạn sâu ngà: Ngà răng bị ăn thành những lỗ sâu, vết sâu trên bề mặt răng và ở chân răng.
– Giai đoạn sâu tủy răng: Những lỗ sâu ở lớp ngà đã phá thủng lớp ngà xuyên vào tận tủy răng. Thường gặp nhất ở các lỗ sâu chân răng, khe giữa các răng và ở rãnh mặt nhai răng hàm
Nguyên nhân sâu răng chủ yếu là do những yếu tố trên gây ra, diễn biến sâu răng rất phức tạp và có thể lây lan sang những bộ phận khác, chuyển hóa thành những biến chứng nguy hiểm cho sức khỏe nên cần có cách điều trị bệnh dứt điểm

[b] 2. Cách chữa sâu răng trị tận gốc nguyên nhân sâu răng. [/b]

Sâu răng dễ dàng tái phát nếu chỗ bị sâu không được điều trị và khôi phục thì sâu răng sẽ tái phát liên tục và nặng hơn theo thời gian.
Ngăn chặn 100% các nguyên nhân sâu răng là điều không thể, chúng ta buộc phải điều trị và hồi phục cho răng giúp nó có khả năng tự chống lại các nguy cơ mới là cách tối ưu nhất.
Mặc dù có rất nhiều cách để chữa sâu răng như các mẹo vặt, các bài thuốc dân gian, các phương thuốc đông y nhưng chỉ làm giảm đau và chữa được bệnh nhất thời, khi có cơ hội bệnh vẫn tái phát, cũng không khôi phục được những tổn thương do sâu răng gây ra. Đến nha khoa thăm khám, điều trị và khôi phục răng là giải pháp hiệu quả và an toàn nhất.
Khi sâu răng mới ở giai đoạn đầu thì các bác sĩ thường dùng cách tái khoáng lại cho răng để hồi phục cho những tổn thương nhẹ ở lớp men răng, làm cho men răng cứng hơn, khả năng chống mài mòn và bị vi khuẩn tấn công tốt hơn.
Nếu trên răng đã có những lỗ, rãnh hình thành tức là ngà đã bị ăn mòn nghiêm trọng. Bác sĩ sẽ trám bít lại các lỗ sâu ăn bằng cách nạo bỏ hết mô răng bị mủn trong lỗ-rãnh sâu răng, rồi dùng vật liệu nha khoa trám kín lại ngăn sự phát triển tiếp của chỗ bị sâu, ngăn ngừa vi khuẩn bên ngoài tiếp tục xâm nhập vào phẩn ngà răng tổn thương.
Răng sẽ được hồi phục lại hình dáng ban đầu, chấm dứt những cơn đau và ăn nhai được bình thường
Sâu răng gây ra tổn thương ở tủy khiến tủy bị viêm thì bác sĩ sẽ phải điều trị tủy răng bằng cách lấy tủy răng và trám bít ống tủy. Sau đó bọc mão sứ cho chiếc răng bị tổn thương, hoặc trám lại phần ngà răng bị mất bằng vật liệu nha khoa.

[b] 3. Phòng ngừa từ nguyên nhân sâu răng để loại bỏ nguy cơ gây bệnh [/b]


– Phòng ngừa các nguyên nhân sâu răng thì tốt nhất vẫn là vệ sinh răng miệng sạch sẽ không cho vi khuẩn có cơ hội gây bệnh.
– Tạo thói quen tốt đánh răng và súc miệng diệt khuẩn sau khi ăn và trước khi đi ngủ
– Lấy cao răng định kì và đi khám răng định kì tại nha khoa theo lời khuyên của bác sĩ.
– Chú ý tới những dấu hiệu lạ trên răng như răng bị đổi màu hoặc răng bị ê buốt khi ăn uống đồ nóng-lạnh, hoặc cảm giác đau nhức trong răng là cần đến nha khoa để khám và trị bệnh ngay.
– Ăn uống đủ các chất dinh dưỡng cần thiết để răng luôn chắc khỏe.
Có ý thức quan tâm và đề cao việc chăm sóc sức khỏe răng miệng cho gia đình và người thân là một trong những kỹ năng quan trọng trong chăm lo cho chất lượng đời sống và sức khỏe.
Xem thêm : sau rang o tre em
http://baoverang.info


Đầu trang
 Xem thông tin cá nhân  
 
Hiển thị những bài viết cách đây:  Sắp xếp theo  
Tạo chủ đề mới Gửi bài trả lời  [ 1 bài viết ] 

Thời gian được tính theo giờ UTC + 7 Giờ


Ai đang trực tuyến?

Đang xem chuyên mục này: Không có thành viên nào đang trực tuyến1 khách


Bạn không thể tạo chủ đề mới trong chuyên mục này.
Bạn không thể trả lời bài viết trong chuyên mục này.
Bạn không thể sửa những bài viết của mình trong chuyên mục này.
Bạn không thể xoá những bài viết của mình trong chuyên mục này.
Bạn không thể gửi tập tin đính kèm trong chuyên mục này.

Tìm kiếm với từ khoá:
Chuyển đến:  
cron
Chứng nhận thanh toán bảo đảm

CÔNG TY TNHH DỊCH VỤ HÀNG HOÁ TRỰC TUYẾN

Diễn đàn sử dụng phần mềm phpBB® Forum


Chợ xây dựng Hà nội: Công ty TNHH Thương mại Dương Linh

Showroom: Số 1B, Ngõ 5, tổ 19, thị trấn Cầu Diễn, Huyện Từ Liêm, Thành phố Hà nội

Tel: 04.37737548; Fax: 04.38370082

Email Phòng kinh doanh: sale@choxaydung.vn

Chợ xây dựng Sài Gòn: Công ty TNHH SX-TM Đăng Hải

Địa chỉ: Số 140, Tô Hiến Thành, P15, Quận 10, Tp.HCM

Tel: 08.38620524; Fax: 08.38633011;

Email: saigonRep@choxaydung.vn